Introduction: In recent years, studies of infrared laser irradiation effect on tumor cells in combination with various chemotherapeutic agents have been developing dynamically.
Objective: To study the effect of infrared laser in combination with low doses of doxorubicin on cytomorphological characteristics of MCF-7DOX culture cells and p21 expression level.
Materials and Methods: MCF-7DOX tumor cells were cultured in DMEM medium with 10% fetal calf serum (FCT) and 40 μg/ml gentamicin. Doxorubicin was added to the cells to a final concentration of 2 μg/ml and 0.5 μg/ml. Cells were irradiated with infrared laser (Fotonika-Plus, Ukraine) with a wavelength of 810 nm (irradiation time — 5 min, power density — 50 mV/cm², irradiation dose 15 J/cm²). Photomicrographs of cells were taken using a Carl Zeiss microscope, Germany. An immunocytochemical study was also conducted using monoclonal antibodies to the factor p21 (Thermo Scientific, USA).
Results: The evaluation of morphological characteristics in micropreparations testifies to the antitumor effectiveness of the combined effect of infrared laser irradiation and doxorubicin. It is noteworthy that the cytotoxic effects of chemotherapy in combination with photobiomodulation were observed when using different doses of doxorubicin: 2 μg/ml and 0.5 μg/ml. When studying the biological activity of cells using immunocytochemistry, it was established that the combination of doxorubicin and infrared laser irradiation led to an increase in the expression of p21, and it is important to note that a similar effect was observed at both concentrations of doxorubicin: as at 2.0 μg/ ml and 0.5 μg/ml. The simultaneous destructive effect on tumor cells and the increase in p21 expression allows us to make a preliminary cautious assumption that the proposed technique of combination of infrared laser irradiation with doxorubicin determines the effect of the p21 factor in the role of a tumor suppressor.
Conclusions: The results of the study allow us to consider the use of doxorubicin in combination with infrared laser as a promising method of cytotoxic effect on tumor cells.
Keywords: breast cancer, MCF-7DOX, doxorubicin, infrared laser, p21
The pronounced heterogeneity of breast cancer (BC) and the selection of subtypes of this disease, based on clinical-morphological, molecular-genetic, epidemiological and other approaches, as well as noticeable differences in risk factors, but none of these is universally applicable. Nevertheless, the current level of knowledge about the molecular mechanisms of the occurrence and development of breast cancer, its sensitivity or resistance to various drugs and influences allows a transition from averaged standard therapy schemes to the treatment in accordance with patient’s individual characteristics and the biological characteristics of the tumor.[1] It should also be noted that the main challenge in developing novel oncological approaches is to reduce healthy tissues toxicities while maintaining the effectiveness of cancer treatment.
One of the game changers deals with the progress of modern laser medicine and fundamentally new technologies are gradually being introduced into clinical practice. The effectiveness of tumor treatment using laser technology has been confirmed in many preclinical and clinical studies [2-6]. The study of lasers effects on biological objects, in particular targeted on improvement of therapeutic strategies to cancer treatment is in focus of researchers around the globe [7-9].
Objective: To study the cytomorphological characteristics of MCF-7DOX breast adenocarcinoma cells after exposure to photobiomodulation in combination with low doses of doxorubicin.
Human breast cancer cells of the MCF-7DOX line were obtained from the Bank of cell lines of human and animal tissues of the R.E. Kavetsky Institute of Experimental Pathology, Oncology and Radiobiology, National Academy of Sciences of Ukraine. Cells were cultured in DMEM nutrient medium (Biowest, France) with 10% fetal calf serum (FCT) (Biowest, France) and 40 μg/ml gentamicin (Sigma, USA). The studied cells were cultivated in a humidified atmosphere with 5% CO2 at 37°C. Cells were planted in the wells of a 96-well plate in 100 μl of complete nutrient medium DMEM with the addition of 10% FST at a concentration of 1x10⁴ cells/well; then incubated in a humidified atmosphere in the presence of 5% CO2 at 37°C for 24 hours. The study included 5 groups of micropreparations: control, photobiomodulation, doxorubicin (2.0 μg/ml) and photobiomodulation + doxorubicin (2.0 and 0.5 μg/ml). The next day, 100 μl of doxorubicin solution (Ebewe, Austria) was added to the corresponding wells of the tablet to final concentrations of 2 μg/ml and 0.5 μg/ml. Immediately after doxorubicin administration, cells were placed in a CO2 incubator and cultured at 5% CO2 and 37°C for 90 minutes. After cultivation, the cells were irradiated with a laser (manufactured by "Fotonika Plus", Ukraine) with a wavelength of 810 nm: irradiation time — 5 min, power density — 50 mV/cm², irradiation dose 15 J/cm². After the cells were irradiated, the tablets were placed in a CO2 incubator and cultured at 5% CO2 and 37⁰C for another 48 hours. After the end of incubation, the nutrient medium was removed from all wells of the tablet and 50 μl of crystal violet solution (Sigma, USA) (5 mg of dye in 1 ml of 70% methyl alcohol) was added to the empty wells. Photomicrographs of cells were taken using a Carl Zeiss microscope, Germany. An immunoсytochemical study was also performed using monoclonal antibodies to p21 (Thermo Scientific, USA). The Lab Vision™ UltraVision™ Quanto Detection System (Thermo Scientific, USA) was used to detect the immunocytochemical reaction. For quantitative evaluation of the expression of the studied marker in immunocytochemical study, the H-Score method was used according to the formula:
S = N0 (% )+ 3×N1 (%) + 2×N2 (%) + 1×N3 (%),
where
Statistical processing of the results was performed using Excel (MS Office 2010) and Origin 8.1 (OriginLab, USA) using the T-test for independent samples of data that followed a normal distribution. Data are presented as arithmetic mean with standard deviation (±SD). *р≤0.05 was taken as the critical level of reliability when testing statistical hypotheses.
According to light microscopy, in the control group without photobiomodulation and doxorubicin, the cells showed active growth and were located in a continuous layer, with the formation of anastomoses, layering, centers of structures like symplasts. (Fig. 1)
In the group with photobiomodulation and without the addition of doxorubicin there was cell growth in some separate areas in the form of a mesh structure with thinning and the formation of niches. (Fig. 2)
In the group without photobiomodulation and with the addition of doxorubicin, we observed fields of solid growth of tumor cells with the formation of anastomoses and separate areas of thinning (Fig. 3). But in general, according to light microscopy, MCF-7DOX cells in the control groups and in the groups after the application of only laser or only doxorubicin showed active growth. Instead, the infrared laser in combination with doxorubicin caused the rupture of solidly growing tumor cells with the formation of cavities and the separation of isolated groups of cells and single cells and the loss of connections between tumor cells with the formation of large cavity structures, in which groups of cells and individual cells were defined. Microscopically, cells with ruptured membranes and stratified cytoplasm (necrosis, apoptosis) were detected, the appearance of giant tumor cells with large nuclei was observed. It is noteworthy that we observed such changes both after photobiomodulation with a doxorubicin concentration of 2.0 μg/ml and with a concentration of 0.5 μg/ml. (Fig. 4, 5)

Figure 1. Photomicrograph of MCF-7DOX cells: without photobiomodulation and without doxorubicin. Cell growth with the formation of anastomoses (A), layering (B), cells of symplast-type structures (C).

Figure 2. Photomicrograph of MCF-7DOX cells: photobiomodulation without doxorubicin. Growth of tumor cells in the form of a mesh structure with thinning (A); individual anastomoses involving cell processes (B); ruptures of a solid layer of tumor cells with the formation of niches (C).

Figure 3. Photomicrograph of MCF-7DOX cells: doxorubicin without photobiomodulation. Fields of solid growth of tumor cells (A) with the formation of anastomoses (B) and separate areas of thinning (C).

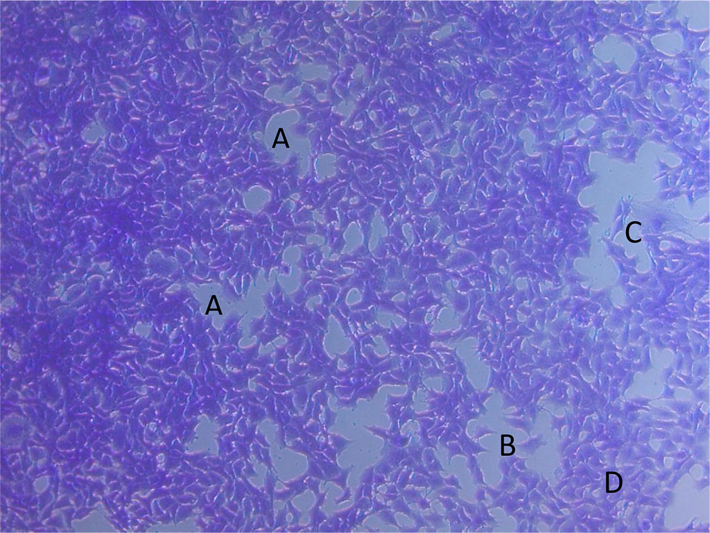
Figure 4. Photomicrograph of MCF-7DOX cells: photobiomodulation + 2.0 μg doxorubicin. Loss of connections between growing tumor cells with the formation of large cavity structures (A); groups of cells and individual cells (B); cells with torn membranes and stratified cytoplasm (C), giant cells with large nuclei (D).

Figure 5. Photomicrograph of MCF-7DOX cells: photobiomodulation + 0.5 μg doxorubicin. Areas of rarefaction alternating with solid areas of tumor cells growth (A); formation of cavities and separation of separate groups of cells and single cells (B); giant cell (C); deformed cells with damaged membranes (D).
When studying the biological activity of cells with the help of immunocytochemistry, it was found that the combination of doxorubicin and infrared laser irradiation increased the expression of p21 in comparison with control and single use of chemotherapeutic agent, and it is important to note that a similar effect was observed at both concentrations of doxorubicin: as at 2.0 μg/ml and 0.5 μg/ml: up to 154,7±4,3 and 118,67±4,0 H-Score points respectively (Table 1).
Table 1. Expression of p21 in MCF-7DOX culture, H-Score points (M±m)
| Group of research | p21 |
| MCF-7DOX (Control) | 80±3,6 |
| MCF-7DOX 810 | 118,0±5,61 |
| MCF-7DOX + Dox 2,0 | 110,3±6,11 |
| MCF-7DOX+ Dox 0,5 + 810 | 118,67±4,01,2,3 |
| MCF-7DOX+ Dox 2,0 + 810 | 154,7±4,31,2,3 |
Notes: 1 - p<0.05 compared to control (MCF-7DOX (Control));
2 -
p<0.05 compared to MCF-7 Dox 2,0; 3 -
p<0.05 compared to MCF-7DOX 810
The results of this study, taking into account the assessment of the morphological characteristics of cells in micropreparations and cell biological activity by evaluating of p21 expression, testify to the antitumor effectiveness of the combined effect of infrared laser and doxorubicin. The fact that the cytotoxic effect on cells was recorded by us at low doses of the chemotherapeutic agent (both at 2.0 μg/ml and at 0.5 μg/ml) suggests that the synergistic effect of infrared laser radiation and doxorubicin can create foundations for reducing the toxicity of chemotherapy while maintaining its effectiveness.
The potential of photobiomodulation (PBM) to affect cells in order to negatively affect tumor growth due to phototoxic reactions has not been thoroughly studied to date. Given the lack of uniformity that characterizes tumor biology, it seems likely that different tumors differ in response to the biomodulatory effects of lasers [10,11]. Various malignant cell lines have been used in in vitro studies to observe the effects of PBM on proliferation and differentiation. They showed contradictory results, and primarily due to the use of a wide variety of irradiation parameters and tumor cell lines [12,13]. In vitro studies have shown that low-energy laser exposure can suppress the proliferation of malignant cells: a decrease in the rate of mitosis was observed in osteosarcoma, cervical cancer, hepatoma, glioblastoma, breast and lung adenocarcinoma cell lines [14,15].
It should be noted that resistance to various drugs is one of the main reasons why cancer is difficult to treat. Most cancer cells are resistant to chemotherapy due to the expression of the active membrane protein P-gp, which constantly expels harmful substances from the cell [16,17].
The most studied of doxorubicin mechanism of action today is its ability to integrate into DNA base pairs, causing DNA strand breaks and inhibition of both DNA and RNA synthesis. Doxorubicin inhibits the enzyme topoisomerase II, causing DNA damage and induction of apoptosis [18-22]. It is likely that such effects of doxorubicin are joined by the pro-apoptotic effect of laser irradiation by modulating the metabolism of reactive oxygen species (ROS), in particular through the so-called ROS-induced ROS release, as well as by activating apoptosis regulators [23-25].
The p21 protein has been shown to mediate p53-induced G1 cell cycle arrest. Its induction of p53 and concomitant inhibition of CDK are thought to be crucial for the role of p21 in suppressing tumor cell proliferation [26]. However, various studies indicate that the cell cycle regulatory factor p21 can manifest itself as a tumor suppressor or vice versa as an oncogene [27,28].
Therefore, the combination of infrared laser and doxorubicin, and as a result - dystrophic changes in cells, disruption of their harmonious reproduction and growth, which are correlated with increased expression of the p21 factor - is the implementation of exactly such a scenario, in which p21 acts as a malignant cell cycle inhibitor. However, given this preliminary assumption, there is no doubt that further research is needed to study this phenomenon.
It should be emphasized once again that the discovery of new treatments with high efficiency and low toxicity, which selectively affect cancer cells, is of great importance. Studies show the benefit of using the combined effect of laser and doxorubicin for the purpose of initiating apoptosis of tumor cells [29].
In the context of the above data, the basis is created not only for the strategy of combining laser radiation with the use of antitumor antibiotics, in particular doxorubicin, but also for optimizing the dose of the chemotherapeutic drug given the fact that it acts synergistically with the laser.
Anthracycline drugs, which include doxorubicin, are used in the early and late stages of breast cancer, but have significant acute and chronic toxicity. And although drug resistance was the cause of the ineffectiveness of chemotherapy in the vast majority of patients, one of the main reasons for incomplete treatment regimens or cancellation of therapy is cardiotoxicity. Therefore, it is becoming more and more important to study the possibilities of reducing the cytotoxic doses of doxorubicin in the event that an additional factor of antitumor effect will in some way assist chemotherapy.
There is no doubt that in the foreseeable future, the study of the combined effect of laser irradiation and chemotherapy will develop as a separate experimental and clinical direction. Because the urgency of increasing the effectiveness of combined cancer treatment regimens is complemented by the urgent need for new approaches to reducing the intensity of cytostatics side effects.
An infrared laser in combination with doxorubicin creates conditions for the occurrence of dystrophic changes in tumor cells, suppression of their proliferative activity by cell cycle arrest, which is confirmed by cytomorphological data of light microscopy which correlate with the results of p21 expression level.
The simultaneous destructive effect on tumor cells and the increase in p21 expression allows us to make a preliminary cautious assumption that the proposed technique determines the effect of the p21 factor in the role of a tumor suppressor. Such effect may occur, probably, including due to the effect on mitochondria and modulation of the release of ROS, which can potentially activate the cascade of apoptosis reactions.
The results of the study allow us to consider the use of low doses of doxorubicin in combination with infrared laser as a promising method of cytotoxic effect on tumor cells. And in a strategic perspective - as a way to reduce the toxic effects of chemotherapy by reducing doxorubicin doses while maintaining antitumor effectiveness.