Europäische Wissenschaftliche Gesellschaft




Erfolgreich durch internationale Zusammenarbeit

Surgery

Cite as: Archiv EuroMedica. 2025. 15; 2. DOI 10.35630/2025/15/2.209

Received 19 March 2025;
Accepted 10 April 2025;
Published 16 April 2025

Hip joint like new: revolutions in total hip arthroplasty – literature review

1Konrad Kotte email orcid id logo, 2Patryk Biesaga orcid id logo,
3Daria Litworska-Sójkaorcid id logo, 4Radosław Wlodarczykorcid id logo,
5Kordian Kotte orcid id logo

1St. Alexander Hospital in Kielce, Poland
2W. Orlowski Hospital in Warsaw, Poland
3Hospital WSzZ in Kielce, Poland
4Hospital ZOZ in Konskie, Poland
5Jan Kochanowski University in Kielce, Poland

download article (pdf)

  konradkotteee@gmail.com

ABSTRACT

Background: Total hip arthroplasty (THA) is a surgical procedure with the highest effectiveness in the advanced arthritis due to degenerative disease. Due to the prevalence of degenerative changes in the elderly population, this disease is becoming a major civilization problem and total hip arthroplasty is one of the most commonly performed operations in orthopedics.

Objective: The aim of this article was to conduct a systematic review of the recent literature to present the latest scientific reports on total hip arthroplasty. The article focuses on outlining the indications for the procedure, explaining the problems and advantages of the selected surgical approaches, reviewing the implants, new technologies and the complications of the methods used.

Methods: The article was developed based on scientific research published between 2015 and 2025. As a result, the presented information is based on current studies, the latest scientific reports, and the most recent expert guidelines. Studies that did not include an appropriate description of the methodology, were unreliable, or contained outdated medical data were excluded from the review.

Conclusions: The choice of surgical technique - anterior, lateral, or posterior approach- should be individually tailored to each patient. There are various types of implants differing in structure, material, and fixation methods, each with its own advantages and limitations. Modern technologies, such as robotics and computer navigation, have the potential to enhance surgical precision, although their long-term effectiveness requires further research. Despite overall improvements in THA outcomes, long-term data on the durability of different implant materials and fixation methods remain insufficient. Further studies are necessary to develop new materials, refine surgical techniques, advance modern technologies, and improve strategies for preventing complications.

Keywords: Total hip arthroplasty, THA, osteoarthritis, hip joint, surgical approach, orthopedics, 3D printing technology

INTRODUCTION

The hip joint is a cotyloid joint formed by the head of the femur and the acetabulum of the pelvic bone, which is composed of the ilium, ischium, and pubis. On the edge of the acetabulum there is a rim that is responsible for stabilizing the hip joint. The predominant role in functional mobility and stability of the hip joints is played by the iliofemoral, ischiofemoral, and pubofemoral ligaments [1].

Total hip arthroplasty (THA) is one of the methods for treating degenerative joint disease of the hip, fractures of the femoral neck, avascular necrosis of the femoral head [2] and tubercular arthritis [3]. It is the most effective surgical procedure in the advanced stage of joint inflammation due to degenerative disease, which is the leading cause of joint disability. Data indicate that 54 million people in the USA are affected by this condition [4].

Fig 1. Radiological examination of the left hip joint after the surgery – THA [44].

Fig 1. Radiological examination of the left hip joint after the surgery – THA [44].

Degenerative joint disease is characterized by pain, which can be observed in tests such as flexion, extension, and internal rotation. Other symptoms include stiffness and decreased mobility, which make it difficult for the patient to perform daily activities. The etiology is associated with damage to the articular cartilage; disturbances in degradation and synthesis [5]. Studies show that risk factors for this disease include obesity, female gender, and age. It is believed that psychological disorders such as depression, anxiety disorders, and psychosis also play a role in the pathogenesis [6]. The diagnosis of degenerative joint disease of the hip is based on clinical symptoms and imaging tests. In the initial phase of the disease, magnetic resonance imaging (MRI) may be used to show changes in the articular cartilage. However, the most important imaging test for diagnosis is the anterior-posterior (AP) X-ray. Key to diagnosis is the narrowing of the joint space to below 2mm and the presence of osteophytes, which are bony outgrowths resulting from bone tissue overgrowth [7]. In treatment, rehabilitation, pain relievers, commonly NSAIDs, and surgical methods such as THA [8] or arthroscopy are used. Arthroscopy is an effective technique in treating femoroacetabular impingement (FAI) and rim injuries, which are one of the causes of degenerative hip joint disease [9].

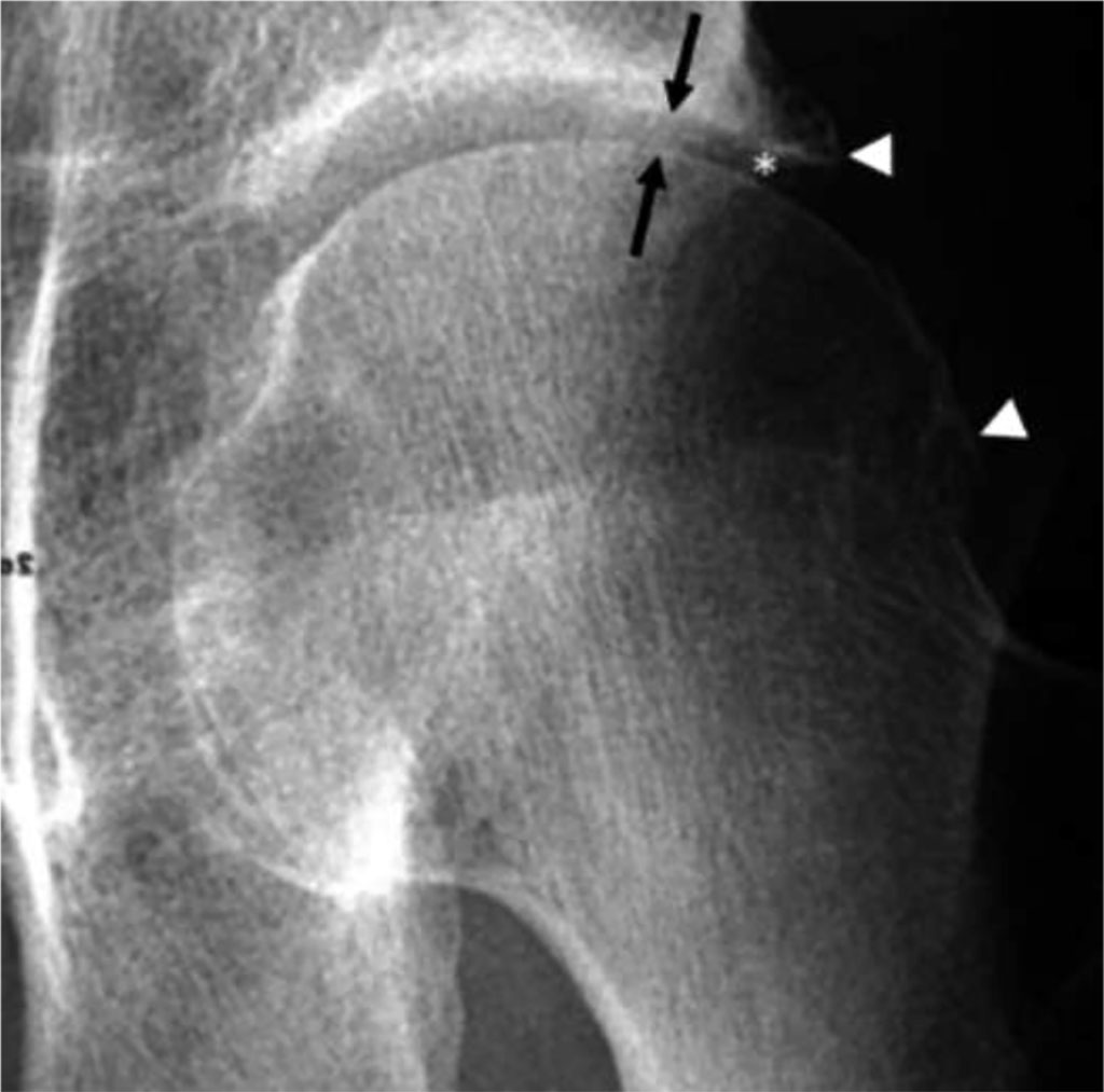
Fig 2. Osteoarthritis of the left hip. AP RTG demonstrates lateral joint space narrowing (arrows) and marginal osteophytes (arrowheads) [7].

Fig 2. Osteoarthritis of the left hip. AP RTG demonstrates lateral joint space narrowing (arrows) and marginal osteophytes (arrowheads) [7].

It should be noted that total hip arthroplasty is the gold standard in treating this disease in patients for whom conservative treatment has not yielded improvement. It can result in reduced pain, and even complete elimination of it, as well as improved joint function. THA should be considered for patients with advanced degenerative disease, painful symptoms, and stiffness that hinder daily functioning [10].

OBJECTIVE

The aim of this article was to conduct a systematic review of the recent literature to present the latest scientific reports on total hip arthroplasty. The article focuses on outlining the indications for the procedure, explaining the problems and advantages of the selected surgical approaches, reviewing the implants, modern technologies and the complications of the methods used.

MATERIALS AND METHOD

A literature search was conducted using PubMed and Google Scholar. The article was developed based on scientific research published between 2015 and 2025. As a result, the presented information is based on current studies, the latest scientific reports, and the most recent expert guidelines. Such an approach allows for a reliable presentation of the topic in the light of contemporary medical knowledge, which is crucial for the accuracy and credibility of the content. Additionally, reviewing scientific works from the past ten years makes it possible to illustrate the evolution and development of the presented techniques, methods, and therapies, revealing changes in the approach to the analyzed issue. Studies that did not include an appropriate description of the methodology, were unreliable, or contained outdated medical data were excluded from the review. Articles were searched by entering key words in the appropriate configuration: ‘total hip arthroplasty’, ‘THA’, ‘surgical approach’, ‘degenerative disease’, ‘hip-joint’, ‘orthopedics’, ‘3D printing technology’.

DESCRIPTION OF THE STATE OF KNOWLEDGE

Surgical approaches and complications

Several approaches can be distinguished for performing THA on the lower limb. These include the posterior (PA), lateral (LA), and direct anterior approach (DAA). Each of these operations has its own advantages and disadvantages. The operation with a posterior approach involves cutting the gluteus maximus muscle, allowing visualization of the hip joint from the back. The surgical field in this procedure is the largest of all. The lateral approach is characterized by cutting the gluteus medius muscle and opening the hip joint from the anterolateral side. It is associated with the risk of damaging the gluteus maximus muscle. The DAA is unique compared to previous surgeries because during this procedure, none of the muscles are cut. It involves an incision between the tensor fasciae latae muscle and the sartorius muscle. In this type of operation, visualization of the hip joint is the smallest [11].

Fig 3. The skin incision used for the direct anterior approach to the hip [43].

Fig 3. The skin incision used for the direct anterior approach to the hip [43].

Fig 4. The skin incision used for the direct lateral approach to the hip [43].

Fig 4. The skin incision used for the direct lateral approach to the hip [43].

Fig 5. The skin incision used for a posterior approach to the hip [43].

Fig 5. The skin incision used for a posterior approach to the hip [43].

The size of visualization is significant in assessing the difficulty of the operation, which is associated with the duration of the surgery. Due to the largest surgical field in the posterior approach, the operation time is the shortest, and in the case of DAA, the longest [12]. This is important because studies have shown that the longer the operation, the greater the chance of infection of the operated area. Each 20-minute extension of the operation time is associated with nearly a 25% increase in the risk of subsequent infection [13]. On the other hand, the small incision without disrupting the continuity of the muscle during the DAA procedure results in a shorter recovery time due to less tissue trauma compared to the posterior approach. It should be noted that the minimally invasive technique of DAA enables shorter hospitalization of the patient and a faster return to functional hip joint mobility. Additionally, the smaller scar from the DAA approach may have an impact on the aesthetic aspect [14]. Despite the longer recovery time with the posterior approach, functional outcomes are comparable to DAA [15].

The choice of surgical technique may be associated with various complications during and after the procedure. Research shows that the anterior approach is characterized by the highest predisposition to infections. This is influenced by the aforementioned longer operation time and the presence of a wound near the groin, where there is a greater likelihood of bacterial proliferation. Data indicate that wound infection in patients after anterior approach surgery is 1.4%, compared to 0.2% in patients with a posterior approach. The DAA approach poses a greater risk of perioperative fractures during attempts to create the femoral canal than the posterior approach. This is related to the limited approaches to the surgical field and the inability to visualize the femur well [16].

Clinical complications include nerve damage. Studies have shown that each approach carries a risk of damaging specific nerves depending on their anatomical course. In the case of the posterior approach, this complication occurs least frequently and affects the sciatic nerve [17]. The lateral approach carries the risk of damage to the superior gluteal nerve [18], which is responsible for innervating the gluteus medius, gluteus minimus, and tensor fasciae latae muscles. Its damage results in characteristic symptoms, including dropping of the pelvis on the healthy side during walking or standing, known as Trendelenburg sign [19]. The most common complications associated with nerve damage are observed with the anterior approach. This is due to the anatomical course of the lateral femoral cutaneous nerve (LFCN) near the incision. This nerve is responsible for sensation in the lateral part of the thigh, so if it is damaged during surgery, serious complications are not observed as with nerve damage during other approaches. It is estimated that approximately 20–25% of these injuries can be avoided by shortening the proximal incision by 10 mm [20].

THA is associated with the risk of revision, i.e. repeated surgery on a previously operated hip joint. Despite the development of surgical techniques and the construction of more advanced implants, revisions remain a significant problem after THA [21]. Patient characteristics are an important risk factor. It is believed that older patients have a greater likelihood of revision due to non-compliance with recommendations regarding rehabilitation programs. Another risk factor is obesity, which increases the risk of infection and may cause movement of the implant. The most common reason for revision after THA is aseptic loosening. It is estimated that this complication is associated with 75% of revisions performed. Other causes include periprosthetic fracture, infections, dislocations, and rarely, implant fractures [22].

Another complication directly related to the choice of approach in THA is dislocation. Most studies agree that the posterior approach is associated with a greater risk of dislocations than the anterior approach [23]. The etiology of dislocations is multifactorial and is related to age, BMI, gender, comorbidities, and surgeon experience [24]. It may also be associated with significant tissue trauma, which occurs during surgery with a posterior approach. Therefore, common recommendations from surgeons after this operation include avoiding hip flexion above 90°, adduction beyond the midline, and internal and external rotation exceeding 20° [25]. It is believed that non-operative treatment of dislocations should be conducted in patients who experience dislocation within 3 months of THA. The treatment involves closed reduction method. It is estimated that the treatment of the first dislocation using closed reduction is effective in 2/3 of cases. In the remaining cases of dislocation, occurring more than 3 months after the operation, if non-operative treatment is ineffective and instability of the hip joint persists with improper positioning of the prosthetic components, surgical treatment is recommended. Experts suggest that choosing the posterior approach in revision surgery reduces the frequency of dislocations due to the possibility of posterior soft tissue repair [26]. Additionally, it allows for better visualization of the hip joint due to the size of the incision. Other revision approaches such as DAA and lateral are also possible, but due to the advantages of the posterior approach mentioned earlier, they are less commonly used [27].

Each procedure has its advantages, limitations, and success rate. The choice of surgical approach depends on the surgeon’s experience and expertise, as well as a thorough analysis of the patient, including the type of pathology, quality of bone tissue, age, and coexisting diseases. Regardless of the chosen operation, the main goal will be to alleviate pain and improve the patient's quality of life [28].

Implants: structure. types, fixation

Total hip arthroplasty (THA) involves the replacement of both the femoral head and the acetabular component, distinguishing it from hemiarthroplasty, where only the femoral component is replaced. The prosthesis used in THA consists of a stem, head, liner, and acetabulum. This is a unipolar prosthesis [29]. In recent years, there has been rapid development in implant technology, leading to longer durability and effectiveness. Advances have resulted in durable implants made of materials such as ceramic and polyethylene, as well as the introduction of modular bearings with dual mobility (allowing movement between the head and liner, and liner and acetabular component), which improve joint functionality [30]. The concept of a dual mobility cup, with a mobile liner, increases the effective head diameter and surface area between the liner and acetabular component. This type of prosthesis is called bipolar. This approach minimizes the risk of implant dislocation in obese and elderly patients with inefficient abductor mechanisms. It also provides a wide range of motion for young and active patients [31].

Endoprostheses can be classified based on articulation, which refers to the type of surfaces between which motion occurs in the joint. This classification includes the types of materials used for the head and liner. Common connections include metal-on-metal (MoM), metal-on-polyethylene (MoP), ceramic-on-ceramic (CoC), and ceramic-on-polyethylene (CoP). Each connection has its own advantages and disadvantages [32]. The metal-on-metal connection was introduced first. It typically consists of an alloy made of cobalt, chromium, and molybdenum. Initially, it was believed to have several benefits, including reduced wear due to the hardness of the materials and the ability to use larger diameter heads, providing greater stability and reducing the risk of displacement. However, studies have shown that this connection is characterized by high wear of the implants and the generation of metal debris. This phenomenon leads to rapid deterioration of the prosthesis and its low 10-year survival rate [33].

THA using CoC and MoM demonstrated less implant wear compared to MoP. However, MoM was associated with a higher incidence of osteolysis compared to CoC and MoP. Therefore, MoM carries a higher risk of revision in long-term observation [34]. It's also worth noting that the presence of polyethylene can lead to the formation of a pseudotumor in MoP connections. This is believed to be associated with an adverse reaction to wear particles from polyethylene as well as metal particles [35]. Comparing polyethylene and ceramic liners, studies have shown that clinical outcomes are similar, but wear rates in a 10-year observation favor ceramic liners. However, it's important to note that ceramic liners are more expensive, which may be a significant consideration in modern healthcare systems [36]. Studies show that the ceramic-on-ceramic connection exhibits excellent durability even 20 years after surgery. CoC appears to be the best solution for young and physically active patients, especially with the introduction of larger diameter heads, which has reduced the risk of improper positioning and component collision, leading to excellent functional outcomes [37]. A clinical issue with large ceramic heads is the risk of impingement on adjacent soft tissues, which can cause pain in the groin area. Another issue may be the occurrence of noise. Up to 30% of patients after THA using CoC report squeaking [38].

The use of THA is not a permanent solution. The survival rate of implants is estimated to be between 15 and 25 years due to slow, progressive inflammatory reactions at the bone- implant interface, leading to its aseptic loosening [45]. Studies show that ceramic implants have a lower risk of requiring revision (3%) compared to MoP implants (25%), which is a significant prognostic factor. The 20-yearsurvival rate is estimated at 96.9% for CoC implants, whereas for MoP implants, it is 73.6% [37]. The cause of faster wear of implants is the surgical procedure, which leads to abnormalities in the fixation of the individual parts of the prosthesis relative to each other. An example of such a procedure could be the incorrect placement of the femoral component of the implant, where it is insufficiently inserted into the medullary canal of the femur. A complication of this could be the lengthening of the lower limb on the side of the operated hip joint relative to the other lower limb. This causes a change in the distribution of forces acting on both hip joints. The described situation leads to a shift in the center of gravity during walking, transferring it to the operated joint. As a result of this, the prosthetic components interact with each other, leading to their wear [46]. Another interesting phenomenon causing implant wear is the average angle of the hip joint socket. Analyses indicate a significant increase in implant wear when the inclination of the socket exceeds 55 degrees. This is an important risk factor that can lead to a decrease in the 20-year survival rate of implants [37].

A crucial step in the surgery is the durable fixation of implants to the bone. For this purpose, the following constructions are used: cemented, uncemented, and hybrid (one part of the implant contains a cemented system, while the other is uncemented). In the case of cemented implants, bone cement made of polymethyl methacrylate is used. This system is characterized by a reduced risk of intraoperative and subsequent periprosthetic fractures. Uncemented systems rely on direct bonding of bone to the implant, facilitated by a special substance such as hydroxyapatite, which coats the implant. This enables integration of bone tissue with the implant [39]. Additionally, uncemented prostheses can be further secured with screws. Research suggests very low certainty of scientific evidence regarding the effectiveness of uncemented acetabular implants without screw fixation, hence the recommendation for the use of screw systems and further research on this issue [40].

The choice of fixation system depends on the surgeon's discretion, following individual patient analysis. In uncemented prostheses, integration between the implant and bone takes longer due to bone remodeling processes, hence after THA surgery, using crutches for about 1 month is recommended. This type is recommended for younger individuals with good bone tissue quality. Cemented prostheses are most commonly used in patients over 75 years old, with poor bone tissue quality or concurrent rheumatologic diseases. It allows for almost immediate weight-bearing and rapid patient rehabilitation [41], helping avoid complications associated with immobilization, such as deep vein thrombosis and pulmonary embolism [42].

New technologies and the development of orthopedics

Orthopedics is one of the fastest-growing fields of medicine, leading to dynamic progress in modern technologies. Scientific research and technological advancements contribute to the improvement of surgical techniques, surgical instruments, and implants used in the treatment of musculoskeletal disorders. One of the areas in which innovation plays a key role is total hip arthroplasty. The introduction of modern materials with increased durability, precise imaging techniques, and advanced systems supporting surgeons, such as computer navigation and robotics, enables even better treatment outcomes. As a result, patients can expect longer-lasting implants, shorter recovery times, and an improved quality of life after the procedure. Systems such as computer navigation and robotics help increase the repeatability of surgical procedures, providing much greater precision than the human hand. They allow for the accurate positioning of prosthetic components and provide intraoperative information about bone structure and lower limb alignment.

Another useful tool is preoperative three- dimensional modeling, which enables the development of a surgical strategy, reduces operation time, and helps prevent complications arising from individual anatomical variations. This approach significantly facilitates a personalized treatment plan for each patient [47]. Research results show that the use of robotics employing computed tomography (CT) and 3D reconstruction improves radiological outcomes by increasing the safe placement of the prosthesis compared to the manual technique. Studies do not indicate any significant difference in intraoperative or early postoperative complications compared to the manual technique. Despite promising short-term results, there is a lack of comprehensive studies with longer follow-up periods that could confirm the long-term impact of using surgical techniques supported by robotic tools [48].

Fig 6. Three-dimensional reconstruction of anatomical structures [49].

Fig 6. Three-dimensional reconstruction of anatomical structures [49].

Fig 7. Screen displaying preoperative confirmation of the femoral stem size, offset, and version prior to cutting the femoral neck. [49].

Fig 7. Screen displaying preoperative confirmation of the femoral stem size, offset, and version prior to cutting the femoral neck. [49].

Another innovation in total hip arthroplasty is the use of 3D printing technology, which is revolutionizing the approach to the design and production of implants. Thanks to its ability to precisely adjust the shape, size, and structure of the prosthesis, 3D printing allows for promising clinical outcomes and a personalized approach to each patient. Prostheses produced with 3D printing are more closely aligned with the patients’ anatomical structures and enable better coordination with human biomechanics. Moreover, 3D printing technology applied in hip arthroplasty has accelerated patient recovery after surgery- the time until weight-bearing on the operated joint was shorter than with implants produced by other methods. Studies have shown that implants created using 3D printing are more susceptible to loosening and carry a higher risk of infection, although there is a lack of data from studies involving larger groups of participants. 3D printing technology in hip arthroplasty is an intriguing solution that may represent the future of modern orthopedics and play an increasingly important role in the coming years [50, 51].

DISCUSSION OF CONCLUSIONS

Total hip arthroplasty (THA) represents the final and irreversible treatment option for hip joint diseases, most commonly due to degenerative changes. It is one of the most effective therapeutic methods, particularly in older patients whose conditions are advanced and irreversible. Studies clearly indicate that THA significantly improves joint function and the quality of life for patients suffering from conditions such as hip osteoarthritis, femoral neck fractures, as well as disorders seen in younger populations, such as avascular necrosis or tuberculous changes. This procedure effectively reduces pain, restores mobility, and enables patients to return to their daily activities. However, modern THA surgery faces the challenge of limited implant longevity, which ranges from about 15 to 25 years, potentially posing a significant issue for younger patients who may require a revision surgery after this period.

The article presents the selection of a surgical technique, focusing primarily on choosing the appropriate surgical approach—anterior, posterior, or lateral. The chosen method should be tailored to the patient’s anatomy, comorbidities, and surgical history.

The anterior approach, as the only intermuscular technique, preserves muscle continuity, resulting in less postoperative pain and faster recovery. However, due to its limited surgical field, it can be technically demanding and unsuitable for all patients. For this reason, it also carries the risk of intraoperative conversion to another approach.

The posterior approach provides better visibility of the surgical field, making it the preferred choice for revision surgeries and cases with atypical anatomy. However, it is associated with a higher risk of joint dislocation, particularly during everyday activities such as sitting in a chair.

The lateral approach represents a compromise between the anterior and posterior methods, balancing the risk of dislocation with optimal joint access. Literature suggests that individualizing the choice of surgical technique can significantly impact treatment outcomes, minimizing complications and accelerating recovery. Additionally, it emphasizes that no single technique can be definitively considered the best, and the selection should be tailored to each patient individually.

The classification of hip prostheses is based on the type of articulation, meaning the materials that form the joint surfaces. The main combinations include metal-on-metal (MoM), metal-on-polyethylene (MoP), ceramic-on-ceramic (CoC), and ceramic-on-polyethylene (CoP), each with its own advantages and limitations. MoM, initially considered durable and stable, proved problematic due to high wear and the release of metal particles, leading to osteolysis and an increased risk of revision surgery—consequently, it is now rarely used. MoP, the most commonly chosen option, offers good clinical outcomes at an affordable cost, though it may carry a risk of pseudotumor formation due to reactions to wear particles. Ceramic components stand out for their high durability, making them a preferred choice for younger patients. However, their higher cost is a significant limiting factor for widespread use. The CoC combination, while extremely durable, can cause a squeaking phenomenon during daily activities, raising concerns about user comfort.

There are also different fixation systems between the implant surface and the bone. These include cemented, uncemented, and hybrid prostheses. Cemented implants, traditionally used in older patients with osteoporosis, provide immediate stability. In contrast, modern uncemented implants, preferred for younger and more active patients, allow for long-term integration with the bone through osteointegration. The hybrid approach, which combines a cemented acetabular cup with an uncemented femoral stem, is also gaining popularity, offering a personalized approach to each patient. The final choice of fixation method should consider the patient’s age, bone quality, activity level, and other clinical factors.

In the future, computer navigation and robotic systems may play a key role by enabling more precise positioning of prosthetic components and providing valuable information during surgery. Preoperative 3D modeling supports surgical planning, reducing the risk of complications. Studies suggest that the use of robotics combined with computed tomography (CT) and 3D reconstruction improves radiological outcomes compared to traditional manual techniques. However, despite promising short-term results, there is a lack of long-term studies to confirm the lasting impact of these technologies on treatment outcomes.

Despite advancements in THA technology, complications such as infections, joint instability, and prosthetic component wear remain significant challenges. Although overall treatment outcomes have improved, long-term data on the durability of different implant materials and fixation methods are still lacking. Further research is essential to develop new materials, refine surgical techniques, and improve strategies for preventing complications.

REFERENCES

  1. Ng KCG, Jeffers JRT, Beaulé PE. Hip Joint Capsular Anatomy, Mechanics, and Surgical Management. J Bone Joint Surg Am. 2019 Dec 4;101(23):2141-2151. DOI: 10.2106/JBJS.19.00346. PMID: 31800428; PMCID: PMC7406151.
  2. Zampogna B, Papalia GF, Parisi FR, Luciano C, Gregori P, Vorini F, Marinozzi A, Farsetti P, Papalia R. Early return to activity of daily living after total hip arthroplasty: a systematic review and meta-analysis. Hip Int. 2023 Nov;33(6):968-976. DOI: 10.1177/11207000221146116. Epub 2022 Dec 26. PMID: 36571209.
  3. Viswanathan VK, Patralekh MK, Kalanjiyam GP, Iyengar KP, Jain VK. Total hip arthroplasty in active and advanced tubercular arthritis: a systematic review of the current evidence. Int Orthop. 2024 Jan;48(1):79-93. DOI: 10.1007/s00264-023-05943-2 Epub 2023 Sep 5. PMID: 37668728.
  4. Konnyu KJ, Thoma LM, Cao W, Aaron RK, Panagiotou OA, Bhuma MR, Adam GP, Pinto D, Balk EM. Prehabilitation for Total Knee or Total Hip Arthroplasty: A Systematic Review. Am J Phys Med Rehabil. 2023 Jan 1;102(1):1-10. DOI: 10.1097/PHM.0000000000002006. Epub 2022 Mar 12. PMID: 35302954; PMCID: PMC9464791.
  5. Materkowski M. [Kompleksowe spojrzenie na chorobę zwyrodnieniową stawów - zastosowanie aceklofenaku w leczeniu tej jednostki chorobowej]. Ortop Traumatol Rehabil. 2019 Aug 31;21(4):307-312. Polish. DOI: 10.5604/01.3001.0013.5133. PMID: 32015210.
  6. Rees HW. Management of Osteoarthritis of the Hip. J Am Acad Orthop Surg. 2020 Apr 1;28(7):e288-e291. DOI: 10.5435/JAAOS-D-19-00416. PMID: 31800436.
  7. Mourad C, Vande Berg B. Osteoarthritis of the hip: is radiography still needed? Skeletal Radiol. 2023 Nov;52(11):2259-2270. DOI: 10.1007/s00256-022-04270-8 Epub 2022 Dec 20. PMID: 36538067; PMCID: PMC10509135.
  8. Katz JN, Arant KR, Loeser RF. Diagnosis and Treatment of Hip and Knee Osteoarthritis: A Review. JAMA. 2021 Feb 9;325(6):568-578. DOI: 10.1001/jama.2020.22171. PMID: 33560326; PMCID: PMC8225295.
  9. Cross GWV, Sobti AS, Khan T. Hip arthroscopy in osteoarthritis: Is it an option? J Clin Orthop Trauma. 2021 Sep 30;22:101617. DOI: 10.1016/j.jcot.2021.101617. PMID: 34650905; PMCID: PMC8497996.
  10. Postler AE, Lützner C, Goronzy J, Lange T, Deckert S, Günther KP, Lützner J. When are patients with osteoarthritis referred for surgery? Best Pract Res Clin Rheumatol. 2023 Jun;37(2):101835. DOI: 10.1016/j.berh.2023.101835. Epub 2023 May 30. PMID: 37263807.
  11. Ang JJM, Onggo JR, Stokes CM, Ambikaipalan A. Comparing direct anterior approach versus posterior approach or lateral approach in total hip arthroplasty: a systematic review and meta-analysis. Eur J Orthop Surg Traumatol. 2023 Oct;33(7):2773-2792. DOI: 10.1007/s00590-023-03528-8. Epub 2023 Apr 3. PMID: 37010580; PMCID: PMC10504117.
  12. Fagotti L, Falotico GG, Maranho DA, Ayeni OR, Ejnisman B, Cohen M, Astur DC. Posterior versus anterior approach to total hip arthroplasty: a systematic review and meta-analysis of randomized controlled trials. Acta Ortop Bras. 2021 Nov-Dec;29(6):297-303. DOI: 10.1590/1413-785220212906244610. PMID: 34849093; PMCID: PMC8601379.
  13. Wang Q, Goswami K, Shohat N, Aalirezaie A, Manrique J, Parvizi J. Longer Operative Time Results in a Higher Rate of Subsequent Periprosthetic Joint Infection in Patients Undergoing Primary Joint Arthroplasty. J Arthroplasty. 2019 May;34(5):947-953. DOI: 10.1016/j.arth.2019.01.027. Epub 2019 Jan 18. PMID: 30765229.
  14. Peng L, Zeng Y, Wu Y, Zeng J, Liu Y, Shen B. Clinical, functional and radiographic outcomes of primary total hip arthroplasty between direct anterior approach and posterior approach: a systematic review and meta-analysis. BMC Musculoskelet Disord. 2020 Jun 2;21(1):338. DOI: 10.1186/s12891-020-03318-x. PMID: 32487060; PMCID: PMC7265223.
  15. Yang XT, Huang HF, Sun L, Yang Z, Deng CY, Tian XB. Direct Anterior Approach Versus Posterolateral Approach in Total Hip Arthroplasty: A Systematic Review and Meta-analysis of Randomized Controlled Studies. Orthop Surg. 2020 Aug;12(4):1065-1073. DOI: 10.1111/os.12669. Epub 2020 Jun 18. Erratum in: Orthop Surg. 2020 Dec;12(6):2048. PMID: 32558261; PMCID: PMC7454221.
  16. Driesman A, Yang CC. Clinical outcomes of DAA and related techniques in hip arthroplasty. Arthroplasty. 2023 Sep 1;5(1):42. DOI: 10.1186/s42836-023-00198-z. PMID: 37653546; PMCID: PMC10472647.
  17. Zhang B, Liu S, Liu Z, Liu B, Huo J, Li M, Han Y. Clinical and radiologic outcomes in patients undergoing primary total hip arthroplasty with Collum Femoris Preserving stems: a comparison between the direct anterior approach and the posterior approach. BMC Musculoskelet Disord. 2022 Jan 22;23(1):77. DOI: 10.1186/s12891-022-05040-2. PMID: 35065628; PMCID: PMC8783516.
  18. Jacobs LG, Buxton RA. The course of the superior gluteal nerve in the lateral approach to the hip. J Bone Joint Surg Am. 1989 Sep;71(8):1239-43. PMID: 2777853.
  19. Lung K, Lui F. Anatomy, Abdomen and Pelvis: Superior Gluteal Nerve. 2023 Aug 14. In: StatPearls [Internet]. Treasure Island (FL): StatPearls Publishing; 2024 Jan–. PMID: 30571029.
  20. Ukai T, Suyama K, Hayashi S, Omura H, Watanabe M. The anatomical features of the lateral femoral cutaneous nerve with total hip arthroplasty: a comparative study of direct anterior and anterolateral supine approaches. BMC Musculoskelet Disord. 2022 Mar 18;23(1):267. DOI:10.1186/s12891-022-05224-w. PMID: 35303834; PMCID: PMC8933952.
  21. Morgan S, Bourget-Murray J, Garceau S, Grammatopoulos G. Revision total hip arthroplasty for periprosthetic fracture: epidemiology, outcomes, and factors associated with success. Ann Jt. 2023 Jul 10;8:30. DOI: 10.21037/aoj-23-16. PMID: 38529253; PMCID: PMC10929400.
  22. Oltean-Dan D, Apostu D, Tomoaia G, Kerekes K, Păiuşan MG, Bardas CA, Benea HRC. Causes of revision after total hip arthroplasty in an orthopedics and traumatology regional center. Med Pharm Rep. 2022 Apr;95(2):179-184. DOI: 10.15386/mpr-2136. Epub 2022 Apr 28. PMID: 35721045; PMCID: PMC9176300.
  23. Loh B, Padki A, Yew A, Pang HN. Functional outcome of direct anterior versus posterior approach in total hip arthroplasty: a propensity-matched Asian study. Singapore Med J. 2024 Feb 16. DOI: 10.4103/singaporemedj.SMJ-2021-125. Epub ahead of print. PMID: 38363645.
  24. Crompton J, Osagie-Clouard L, Patel A. Do hip precautions after posterior-approach total hip arthroplasty affect dislocation rates? A systematic review of 7 studies with 6,900 patients. Acta Orthop. 2020 Dec;91(6):687-692. DOI: 10.1080/17453674.2020.1795598. Epub 2020 Jul 28. PMID: 32718213; PMCID: PMC8023879.
  25. Eannucci EF, Barlow BT, Carroll KM, Sculco PK, Jerabek SA, Mayman DJ. A Protocol of Pose Avoidance in Place of Hip Precautions After Posterior-Approach Total Hip Arthroplasty May Not Increase Risk of Post-operative Dislocation. HSS J. 2019 Oct;15(3):247-253. DOI: 10.1007/s11420-019-09708-9. Epub 2019 Aug 5. PMID: 31624480; PMCID: PMC6778163.
  26. Lu Y, Xiao H, Xue F. Causes of and treatment options for dislocation following total hip arthroplasty. Exp Ther Med. 2019 Sep;18(3):1715-1722. DOI: 10.3892/etm.2019.7733. Epub 2019 Jul 3. PMID: 31410129; PMCID: PMC6676097.
  27. Baba T, Homma Y, Jinnai Y, Tanabe H, Banno S, Watari T, Kaneko K. Posterior versus direct anterior approach in revision hip arthroplasty using Kerboull-type plate. SICOT J. 2020;6:2. DOI: 10.1051/sicotj/2019040. Epub 2020 Jan 14. PMID: 31934846; PMCID: PMC6959137.
  28. Patel N, Golwala P. Approaches for Total Hip Arthroplasty: A Systematic Review. Cureus. 2023 Feb 10;15(2):e34829. DOI: 10.7759/cureus.34829. PMID: 36919077; PMCID: PMC10008322.
  29. HEALTH Investigators; Bhandari M, Einhorn TA, Guyatt G, Schemitsch EH, Zura RD, Sprague S, Frihagen F, Guerra-Farfán E, Kleinlugtenbelt YV, Poolman RW, Rangan A, Bzovsky S, Heels-Ansdell D, Thabane L, Walter SD, Devereaux PJ. Total Hip Arthroplasty or Hemiarthroplasty for Hip Fracture. N Engl J Med. 2019 Dec 5;381(23):2199-2208. DOI: 10.1056/NEJMoa1906190. Epub 2019 Sep 26. PMID: 31557429.
  30. Holzer LA. Total Hip Arthroplasty: So Hip It Hurts. J Clin Med. 2023 Jun 5;12(11):3849. DOI: 10.3390/jcm12113849. PMID: 37298044; PMCID: PMC10253778.
  31. Maitama MI, Lawal YZ, Dahiru IL, Alabi IA, Amaefule KE, Audu SS, Ibrahim A. Implant factors that might influence components' survival in primary total hip arthroplasty. Niger Postgrad Med J. 2022 Jan-Mar;29(1):1-5. DOI: 10.4103/npmj.npmj_726_21. PMID: 35102943.
  32. Pratt NL, Cicuttini FM, Wang Y, Graves SE. No increased risk of cancer associated with metal-on-metal or ceramic-on-ceramic procedures compared to other bearing surfaces in patients with total hip arthroplasty: A nationwide linked registry cohort analysis of 167,837 patients. PLoS One. 2022 Nov 30;17(11):e0278241. DOI: 10.1371/journal.pone.0278241. PMID: 36449468; PMCID: PMC9710777.
  33. Davis TP. Metal-on-Metal Hip Arthroplasty: A Comprehensive Review of the Current Literature. Cureus. 2023 Nov 3;15(11):e48238. DOI: 10.7759/cureus.48238. PMID: 37929272; PMCID: PMC10624517.
  34. Higuchi Y, Seki T, Morita D, Komatsu D, Takegami Y, Ishiguro N. Comparison of Wear Rate between Ceramic-on-Ceramic, Metal on Highly Cross-linked Polyethylene, and Metal-on-Metal Bearings. Rev Bras Ortop (Sao Paulo). 2019 May;54(3):295-302. DOI: 10.1055/s-0039-1691762. Epub 2019 Jun 27. PMID: 31363284; PMCID: PMC6597422.
  35. Ishida T, Tateiwa T, Takahashi Y, Nishikawa Y, Shishido T, Masaoka T, Sano K, Yamamoto K. Do Polyethylene Supra-Macroparticles Lead to Pseudotumor Formation in Metal-on-Polyethylene Total Hip Arthroplasty? Arthroplast Today. 2020 Jul 23;6(3):526-531. DOI: 10.1016/j.artd.2020.06.006. PMID: 32743035; PMCID: PMC7387676.
  36. van Loon J, Hoornenborg D, van der Vis HM, Sierevelt IN, Opdam KT, Kerkhoffs GM, Haverkamp D. Ceramic-on-ceramic vs ceramic-on-polyethylene, a comparative study with 10-year follow-up. World J Orthop. 2021 Jan 18;12(1):14-23. DOI: 10.5312/wjo.v12.i1.14. PMID: 33520678; PMCID: PMC7814309.
  37. Vendittoli PA, Shahin M, Rivière C, Barry J, Lavoie P, Duval N. Ceramic-on-ceramic total hip arthroplasty is superior to metal-on-conventional polyethylene at 20-year follow-up: A randomised clinical trial. Orthop Traumatol Surg Res. 2021 Feb;107(1):102744. DOI: 10.1016/j.otsr.2020.102744. Epub 2020 Dec 11. PMID: 33316444.
  38. Castagnini F, Cosentino M, Bracci G, Masetti C, Faldini C, Traina F. Ceramic-on-Ceramic Total Hip Arthroplasty with Large Diameter Heads: A Systematic Review. Med Princ Pract. 2021;30(1):29-36. DOI: 10.1159/000508982. Epub 2020 Aug 5. PMID: 32756066; PMCID: PMC7923901.
  39. Lewis SR, Macey R, Parker MJ, Cook JA, Griffin XL. Arthroplasties for hip fracture in adults. Cochrane Database Syst Rev. 2022 Feb 14;2(2):CD013410. DOI: 10.1002/14651858.CD013410.pub2. PMID: 35156194; PMCID: PMC8841979.
  40. Miura T, Kijima H, Kimura R, Watanabe J, Okazaki Y, Miyakoshi N. Efficacy and Safety of Acetabular Cup without Screw Fixation in Total Hip Arthroplasty: A Systematic Review and Meta-Analysis. Medicina (Kaunas). 2022 Aug 5;58(8):1058. DOI: 10.3390/medicina58081058. PMID: 36013524; PMCID: PMC9413682.
  41. Gasbarra E, Piccirilli E, Greggi C, Trapani F, Iundusi R, Tarantino U. Hip replacement in femoral neck fractures: the role of cementation and its technical difficulties. Ther Adv Musculoskelet Dis. 2022 Dec 26;14:1759720X221144278. DOI: 10.1177/1759720X221144278. PMID: 36601088; PMCID: PMC9806374.
  42. Santana DC, Emara AK, Orr MN, Klika AK, Higuera CA, Krebs VE, Molloy RM, Piuzzi NS. An Update on Venous Thromboembolism Rates and Prophylaxis in Hip and Knee Arthroplasty in 2020. Medicina (Kaunas). 2020 Aug 19;56(9):416. DOI: 10.3390/medicina56090416. PMID: 32824931; PMCID: PMC7558636.
  43. Petis S, Howard JL, Lanting BL, Vasarhelyi EM. Surgical approach in primary total hip arthroplasty: anatomy, technique and clinical outcomes. Can J Surg. 2015 Apr;58(2):128-39. DOI: 10.1503/cjs.007214. PMID: 25799249; PMCID: PMC4373995.
  44. Szymczak Z, Płusa T, Baranowski P, Krawczyk J. Hip arthoplasty in a forester after numerous tick bites. Int J Occup Med Environ Health. 2021 Sep 3;34(5):693-699. DOI: 10.13075/ijomeh.1896.01697. Epub 2021 Apr 13. PMID: 33871467.
  45. Man K, Jiang LH, Foster R, Yang XB. Immunological Responses to Total Hip Arthroplasty. J Funct Biomater. 2017 Aug 1;8(3):33. DOI: 10.3390/jfb8030033. PMID: 28762999; PMCID: PMC5618284.
  46. Konishi T, Hamai S, Kawahara S, Hara D, Sato T, Yamate S, Motomura G, Nakashima Y. Postoperative longer leg on surgical side and high riding greater trochanter worsen forgotten joint score after unilateral total hip arthroplasty. Sci Rep. 2025 Mar 19;15(1):9530. DOI:10.1038/s41598-025-93547-8. PMID: 40108294; PMCID: PMC11923049.
  47. Borsinger TM, Chandi SK, Puri S, Debbi EM, Blevins JL, Chalmers BP. Total Hip Arthroplasty: An Update on Navigation, Robotics, and Contemporary Advancements. HSS J. 2023 Nov;19(4):478-485. DOI: 10.1177/15563316231193704. Epub 2023 Aug 18. PMID: 37937097; PMCID: PMC10626925.
  48. Llombart-Blanco R, Mariscal G, Barrios C, Vera P, Llombart-Ais R. MAKO robot-assisted total hip arthroplasty: a comprehensive meta-analysis of efficacy and safety outcomes. J Orthop Surg Res. 2024 Oct 28;19(1):698. DOI: 10.1186/s13018-024-05199-5. PMCID: PMC11520809.
  49. Kim K, Kwon S, Kwon J, Hwang J. A review of robotic-assisted total hip arthroplasty. Biomed Eng Lett. 2023 Aug 30;13(4):523-535. DOI: 10.1007/s13534-023-00312-9. PMID: 37872985; PMCID: PMC10590363.
  50. Wang S, Wang L, Liu Y, Ren Y, Jiang L, Li Y, Zhou H, Chen J, Jia W, Li H. 3D printing technology used in severe hip deformity. Exp Ther Med. 2017 Sep;14(3):2595-2599. DOI: 10.3892/etm.2017.4799. Epub 2017 Jul 18. PMID: 28962199; PMCID: PMC5609304.
  51. Anzillotti G, Guazzoni E, Conte P, Di Matteo V, Kon E, Grappiolo G, Loppini M. Using Three- Dimensional Printing Technology to Solve Complex Primary Total Hip Arthroplasty Cases: Do We Really Need Custom-Made Guides and Templates? A Critical Systematic Review on the Available Evidence. J Clin Med. 2024 Jan 15;13(2):474. DOI: 10.3390/jcm13020474. PMID: 38256607; PMCID: PMC10816635.


back

 



Europäische Wissenschaftliche Gesellschaft